Dental Implants Expert

Dr. Lee’s expertise encompasses comprehensive full-mouth dental implant rehabilitations. He specializes in bone grafting procedures, including maxillary sinus augmentation. Dr. Lee is dedicated to a comfortable, minimally invasive experience for patients.

Not all dental implants are created equally. At Finesse, we prioritize quality over cost, selecting only premium implant brands known for their exceptional durability and significantly lower failure rates. Our commitment to patient outcomes ensures the best possible results

Imagine driving at night in the rain without a GPS navigation system. It would be challenging, right? The mouth is a similar environment: dark and moist. At Finesse Dental Implant Center, we use a guided surgery system to ensure precise implant placement.

Boston Implant is a premier educational resource dedicated exclusively to the field of dental implantology. Discover clinical insights from Dr. Lee and stay informed on the latest advancements in dental implant technology.

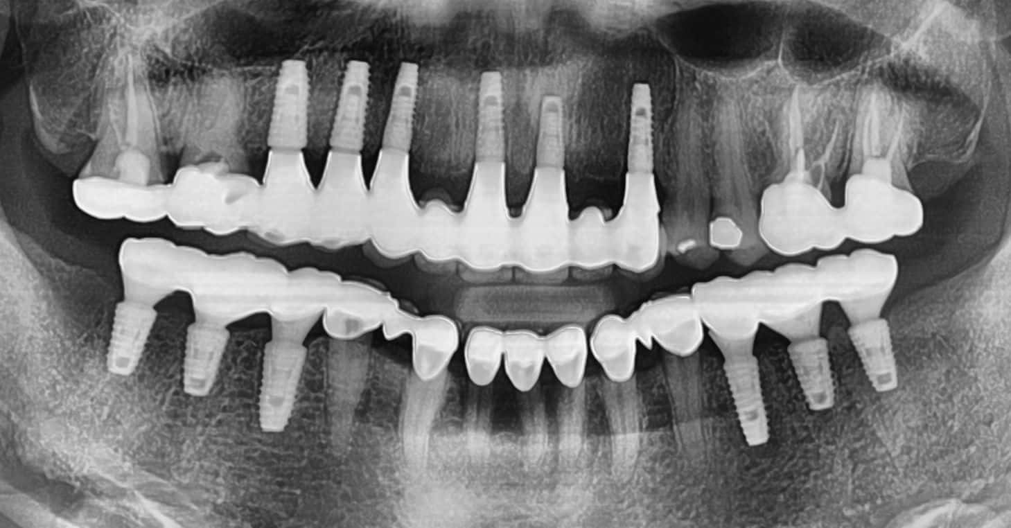
This patient presented with 14 missing teeth, significantly impacting her quality of life. Through a single-session procedure, I successfully placed 12 dental implants. Four months later, she achieved a beautiful, functional smile, restoring her confidence and improving overall oral health.

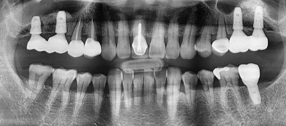
This patient was suffering from significant pain in her upper jaw due to infection. I performed extensive bone grafting procedures, including a sinus lift, to prepare the site for implant placement. Five dental implants were successfully placed, and the patient recovered without any complications.