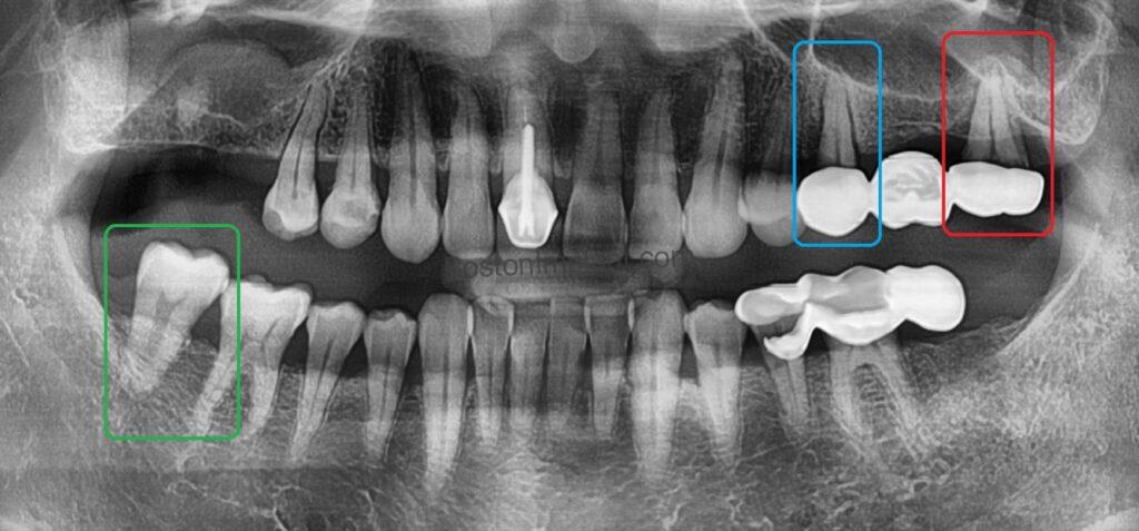
A 48-year-old gentleman sought relief at our Boston practice from persistent dental discomfort. Ten years prior, the loss of two upper left molars had understandably led him to favor his right side for chewing. This long-term compensatory habit resulted in significant strain and subsequent pain on his upper right side – a common scenario where patients inadvertently compromise healthy teeth by overcompensating for missing ones. In this particular case, despite our efforts, an additional upper right tooth required extraction (marked in red), though we successfully preserved another (marked in blue). Furthermore, the patient presented with severe pneumatization of the maxillary sinus (thinning of the remaining maxillary bone), necessitating a complex bone grafting procedure known as a lateral sinus lift. (For further information on this procedure, please refer to our ‘Sinus lift blog’.)

We also observed an issue on his left side. The lower left posterior tooth (marked in green) had supra-erupted, positioned higher than its adjacent teeth. This phenomenon occurs due to the absence of an opposing tooth. Teeth naturally continue to erupt until they meet an antagonist, counter tooth. Without this opposing force, the tooth will continue to move. This is a common finding in patients who do not seek timely treatment after tooth extraction. This supra-erupted tooth required intervention, and we discussed several options: (1) Orthodontic intrusion: Utilizing orthodontic appliances to reposition the tooth. This approach requires the most time and is the most costly. (2) Endodontic treatment and crown: A more immediate option involving root canal therapy to reduce the tooth’s height followed by a crown. While quicker, it necessitates the removal of vital pulp tissue and remains a significant expense. (3) Conservative odontoplasty: Selective reshaping or trimming of the tooth to eliminate the interference. This offers the most immediate and cost-effective (affordable, essentially free) solution. His final decision will be revealed later in this narrative.
To assess his bone structure, we performed a CBCT (Cone Beam Computed Tomography) scan, a detailed 3D X-ray. Regrettably, he had insufficient bone in both upper molar areas, necessitating bilateral sinus lifts. (For more on sinus lifts information, please check this post).

Following a thorough consultation, we developed a comprehensive treatment plan, including five implants, bilateral sinus lifts, and other general dental procedures. We utilized a surgical guide for precise implant placement. (More information on surgical guides can be found here ).

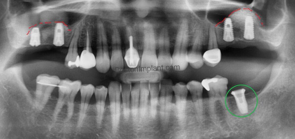
The surgical procedures were completed successfully. The sinus grafts were placed in both molar areas (red lines). Notably, you can see the lower right back implant (green circle) has different shape than other. It is a tissue-level implant, chosen for its stability as a solitary implant. (For details on implant types, please see this post.)

We then allowed six months for the grafted bone to integrate fully. During this time, we addressed any existing root canals and cavities.
After the six-month healing period, we proceeded with the second stage, uncovering the implants and beginning the prosthetic phase. As with complex cases, we started with temporary crowns to assess the shape, color, and bite, ensuring his comfort and satisfaction before creating the final restorations. After a month of testing, we fabricated the permanent crowns. While the temporary phase is time-consuming, it ensures optimal results in both function and aesthetics.

The process didn’t end there. We meticulously fine-tuned the final crowns, scheduling follow-up appointments to make necessary adjustments. Unlike natural teeth, which can adapt over time, implants are fixed and require precise adjustments for a perfect fit.
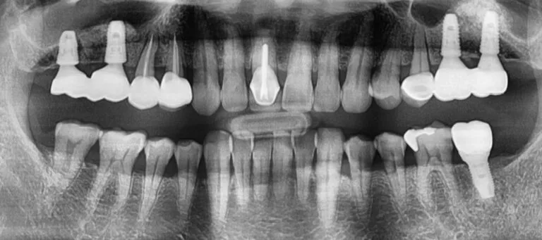
Finally, regarding the lower left tooth (green circle), we opted for a conservative reshaping, which proved successful, avoiding the need for more extensive treatment.
Today, he is delighted with his new teeth, and we have entered a maintenance phase to ensure their long-term success.
If you would like to learn more about sinus lift, check out these post below
Ready to take the next step?
If you are looking for more in-depth resources, patient success stories, and the latest research on dental implants, visit our dedicated educational hub at BostonImplant.com. It’s our mission to be the most trusted source for implant dentistry in the Greater Boston area. Schedule your consultation today!
Finesse Dental & Implant Center of Boston
617-286-6515 (Call/Text)
support@BostonImplant.com
183 Essex St, Boston, MA 02111

