Sinus lift (Augmentation): Minimizing Risks Through Comprehensive 3D Planning

When a patient loses multiple molar teeth, the goal isn’t just to fill the gaps—it’s to restore full chewing function while preserving as much of the natural tooth structure as possible.

Recently, a 65-year-old patient visited Finesse Dental & Implant Center with multiple missing molars. Her case perfectly illustrates our approach: combining advanced surgical techniques with a conservative clinical philosophy.

The Challenge: Limited Bone and Irregular Sinus Anatomy

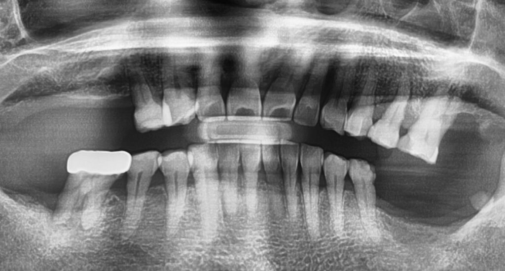
Upon initial examination, the patient’s upper right quadrant presented a significant challenge: very limited bone height. In this area, the jawbone was so thin that a standard implant would have lacked the necessary foundation to stay secure.

Clinical Insight: In the surgical planning image above, you can see that more than half of the projected implant length would have sat in the empty space (dark area) of the sinus cavity rather than in solid bone (white area). So, we planned sinus graft on upper right side. For more information about sinus graft, check out this post below

Why This Case Was Technique-Sensitive

Not all sinus lifts are created equal. This specific case was complicated by two primary factors:

1. An Irregular Sinus Floor To perform a sinus graft, we must delicately lift the Schneiderian membrane—a tissue as thin and fragile as the lining of an eggshell. Think of it like peeling a piece of tape off a delicate surface without tearing it. While we always aim for a smooth, clean detachment (as seen in the left image), the reality of complex anatomy sometimes makes the process look more like the image on the right.

Because this patient’s sinus floor was highly irregular, the procedure required extra precision. This anatomy naturally carries a higher-than-average risk of membrane perforation, making a meticulous approach essential.

2. Navigating Anatomy: The Blood Vessel Using our 3D CBCT scan, we identified a small blood vessel (Green circle below) crossing directly through the intended surgical access site. Damaging this vessel can cause complications, so we used our high-resolution imaging to map a precise entry point that bypassed the vessel entirely.

Through comprehensive 3D CBCT planning and precise surgical technique, we successfully completed the sinus graft without complication.

A Conservative Alternative: The Upper Left Bridge

While we planned seven implants for the right side, our approach to the upper left side was different. The patient had a second premolar with poor periodontal health and a first molar with slight bone loss.

Rather than extracting these teeth and placing more implants, we chose a dental bridge. Our philosophy is simple: Your natural teeth are precious. Whenever we can safely stabilize and save a natural tooth, we prioritize that over an extraction.

Efficiency in Treatment: The “Fast-Track” Timeline

Sinus grafts require patience—typically 6 months for the bone to fully mature and integrate. To ensure the patient didn’t have to wait half a year to eat comfortably, we designed a staged treatment plan:

  1. Phase 1: Perform the sinus graft on the upper right.
  2. Phase 2: We placed implants in the other areas—the upper left and both lower sides—where the bone was sufficient and did not require complex grafting.
  3. Phase 3: Restore the areas first so the patient could regain chewing function quickly on left side.
  4. Phase 4: Once the graft matured, place and restore the final implants in the sinus area.

The Result

By working efficiently and staging the procedures, we minimized the total treatment time and maximized the patient’s comfort. Today, she has regained full functional ability and a confident smile.

At Finesse Dental, we don’t just place implants; we plan for long-term health using the best technology available in Boston.

Ready to take the next step?

If you are looking for more in-depth resources, patient success stories, and the latest research on tooth replacement, visit our dedicated educational hub at BostonImplant.com. It’s our mission to be the most trusted source for implant dentistry in the Greater Boston area. Schedule your consultation today!

Finesse Dental & Implant Center of Boston

617-286-6515 (Call/Text)
support@BostonImplant.com

183 Essex St, Boston, MA

Leave a Comment

Your email address will not be published. Required fields are marked *