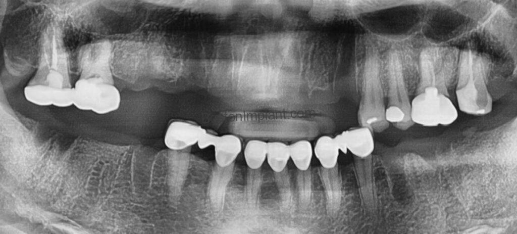
A remarkable 51-year-old woman arrived at my practice in Boston, a beacon of hope sought after enduring a truly harrowing ordeal. Imagine: fourteen teeth extractions, a significant portion of her smile and ability to face the world, had been wrested away at a distant clinic, a full two hours from the sanctuary of my office. Now, she navigated her days relying on a flimsy flipper denture for her upper arch, a constant, unwelcome reminder of her loss. This temporary fix, meant to offer a semblance of normalcy, instead delivered only discomfort and robbed her of the natural beauty she yearned to reclaim. The unspoken plea in her eyes was palpable – a desperate longing for a permanent, unwavering smile that would finally restore her confidence. In that initial, delicate encounter, a profound respect for her vulnerability prevented me from capturing any photographs; the story etched in her expression was powerful enough.

To thoroughly understand her bone structure, we began with a CBCT (Cone Beam Computed Tomography) scan, a sophisticated 3D X-ray providing a detailed blueprint of her jaw. Following a comprehensive consultation and the development of a tailored treatment plan, we decided on the placement of 12 dental implants. For optimal aesthetics in the upper front, we planned for tooth-colored abutments, while utilizing titanium abutments on the molars for enhanced durability. (You can learn more about these components in our blog post, ‘Custom Abutments of Dental Implants‘.) While our initial aim was to replace each missing molar with an implant, we strategically chose to forgo implants in two specific non-stress-bearing areas of the upper front, which also offered a more affordable option for the patient.

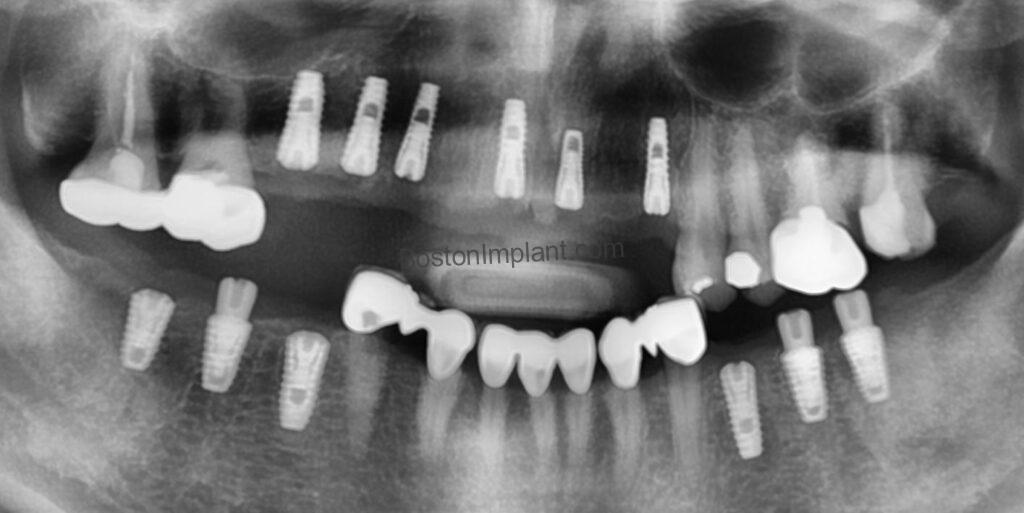
To ensure the highest precision and success, we utilized a surgical guide during the implant placement.

Surgical guides are invaluable in complex multiple implant cases. By allowing for meticulous pre-operative planning and virtual surgical simulations, we can optimize the implant placement strategy and develop the most effective treatment plan. Utilizing a surgical guide enabled us to successfully place all 12 implants in a single, efficient session. (For more information on surgical guides, please refer to my blog post about the ‘Surgical Guide for Dental Implant’.)

Her recovery was smooth, with only mild discomfort. Contrary to common misconceptions, dental implant procedures are generally not painful. In my experience, tooth extractions often result in more discomfort than implant placements, unless extensive bone grafting is involved.
The next phase involved a three-month period of osseointegration, a vital process where the bone naturally bonds with the titanium implants. During this time, we addressed any minor issues, including root canal treatments and the creation of temporary crowns. We used this time effectively to ensure a solid foundation for her final restoration.
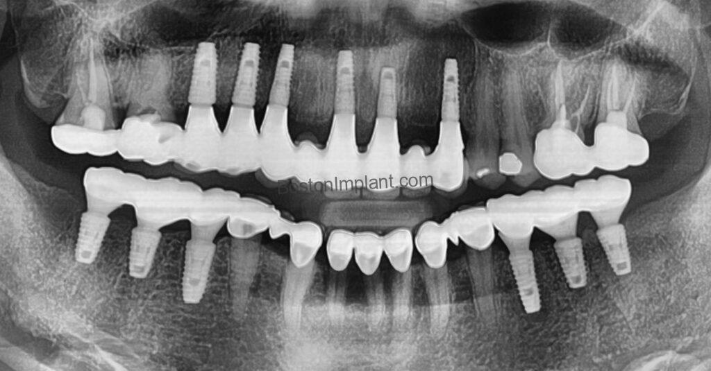
After the osseointegration period, we performed a second, minor surgery to expose the implants and take impressions for her final crowns. For complex cases like hers, I prefer to create temporary crowns first. This allows us to assess the shape, color, and bite, ensuring her complete comfort and satisfaction before fabricating the final restorations.

While the placement of the final crowns marked a significant milestone, achieving optimal function and aesthetics with multiple implants often requires fine-tuning. We scheduled follow-up appointments, making adjustments to ensure a perfect fit and bite. Unlike natural teeth, which can shift over time, implants remain fixed, necessitating these meticulous adjustments.
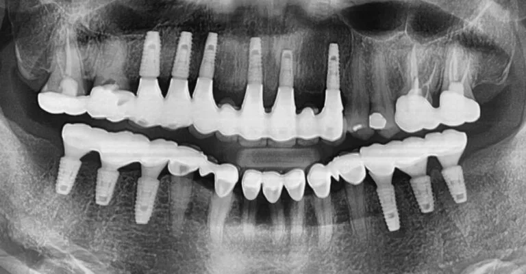
Today, she has a beautiful, confident smile and a stable, comfortable bite. Despite the two-hour drive, she continues to visit my practice every six months for routine check-ups. It’s a testament to her dedication and our shared commitment to maintaining her oral health and happiness.
Ready to take the next step?
If you are looking for more in-depth resources, patient success stories, and the latest research on dental implants, visit our dedicated educational hub at BostonImplant.com. It’s our mission to be the most trusted source for implant dentistry in the Greater Boston area. Schedule your consultation today!
Finesse Dental & Implant Center of Boston
617-286-6515 (Call/Text)
support@BostonImplant.com
183 Essex St, Boston, MA 02111


This story highlights the resilience and determination of a woman who faced significant dental challenges. Her journey from a temporary, uncomfortable solution to a permanent, confident smile is truly inspiring. The detailed process of implant placement and osseointegration demonstrates the importance of precision and care in dental restoration. It’s remarkable how modern dentistry can transform lives by restoring both function and confidence.