Excellence In Dentistry
Readable content of a page when looking at its layout

Oral Wellness
We believe that preventative care is paramount in maintaining optimal oral health. Our practice emphasizes regular dental check-ups and periodontal maintenance to help you achieve and sustain a healthy smile.

Cavity Care
Even small cavities can lead to significant dental problems. At Finesse Dentistry, we offer a range of restorative treatments, including white fillings for minor cavities, inlays for moderate-sized cavities, and crowns for extensive decay.

Gum Care
Gum disease is more than just receding gums, sensitive teeth, or bleeding. It often signals underlying issues with the gums and surrounding bone. At Finesse Dentistry, we utilize advanced 3D X-rays to accurately diagnose gum disease and provide effective treatment options.

Invisalign
Many people dislike crooked teeth but aren’t fond of braces either. At Finesse, we offer Clear Aligners for teeth straightening. Rediscover your smile without traditional braces.

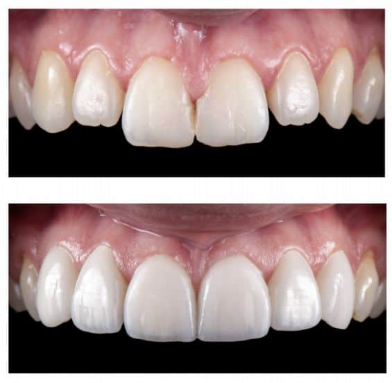
Smile Design (Veneers)
teeth are a vital component of your smile, significantly impacting your confidence. At Finesse Dentistry, we offer a range of cosmetic treatments, including teeth whitening, clear aligners for teeth straightening, and veneers, to help you achieve the smile you desire.

Snoring & Sleep Apnea
Snoring and sleep apnea are more than just bad habits; they are serious conditions that affect your entire body. Learn how managing your sleep health can improve your overall well-being.