Biomimetic Dentistry (Conservative Composites/Bondings)
As a dentist dedicated to minimally invasive and conservative care, I prioritize composite resin and dental bonding whenever possible. Biomimetic dentistry approach allows us to achieve your aesthetic goals while preserving the maximum amount of natural tooth structure. Here are a few examples of how we’ve utilized these techniques to transform smiles:
1. Major tooth fractures
A patient presented with a fractured front tooth following a hockey injury just after his Sunday game. We treated this as an urgent dental emergency and fit him into our schedule on Monday morning. Upon examination, we were pleased to find that the pulp was not exposed, as the fracture was confined primarily to the enamel. While a full-coverage crown was a viable long-term option, the patient preferred a more immediate and conservative approach. We proceeded with a multi-layered composite restoration, restoring both function and aesthetics in a single visit.

2. Multiple teeth fractures
We recently treated a patient whose lower front teeth had chipped after years of overuse. Often, when patients lose stable support from their back molars, it places excessive force on the front teeth, leading to accelerated wear and cracks. To address this, we chose a conservative multi-layered composite restoration, restoring both function and aesthetics in just a single visit.

3. Minor tooth fractures (Chippings)
Our teeth are under constant mechanical stress from daily use, which can lead to minor chipping or small fractures over time. These situations are exactly where composite bonding excels. While these issues may seem minor, addressing them can make a significant difference in the harmony and overall appearance of your smile.

4. Discolored old composites
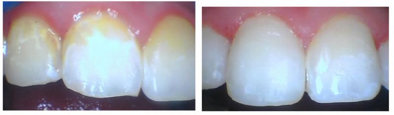
Over time, older composite restorations can become discolored or take on a yellowish tint. While this doesn’t always indicate a new cavity, it can significantly compromise the aesthetics of a smile, especially on front teeth. This patient had multiple bondings placed over ten years ago and had become self-conscious about her smile. We were able to restore her confidence by replacing the aged material with high-quality, multi-layered composite restorations that blend seamlessly with her natural teeth.

5. Gum area cavities
Cavities that form near the gum line (cervical caries) can be particularly difficult to manage because that area is often challenging to brush effectively. If left untreated, these cavities can quickly deepen and threaten the tooth’s structure. To address this, we use a specialized two-layered composite restoration. This technique ensures a durable, aesthetic seal that protects the sensitive root area while restoring the natural look of the tooth.

6. Teeth notches
Teeth can develop notches along the gum line, known as abfractions, often caused by improper brushing habits or the heavy forces of bruxism (teeth grinding). While we can simply monitor minor notches, more severe cases require treatment because the exposed root is softer and can wear away progressively. We recently treated a patient with multiple abfractions using composite restorations to shield the teeth from further wear. To ensure long-term protection, a custom night guard is essential to manage the underlying pressure.

For more information on proper brushing techniques to prevent abfractions and how a custom night guard can protect your smile, explore our detailed guides below.
How to Brush with Fluoride Toothpaste: Expert Tips
Custom Dental Night Guards: Protect Your Smile While You Sleep
We prioritize a minimally invasive and conservative/biomimetic approach whenever possible. However, for more generalized or severe cases, a more comprehensive approach—such as veneers and crowns—may be necessary to achieve the best results.
Perfect smile with Dental Veneers in Boston | Affordable dental veneer
Explore the posts above to learn more about these treatments, or feel free to reach out to us for more information on how dental bonding can transform your smile.
Finesse Dental & Implant Center of Boston
617-286-6515 (Call/Text)
183 Essex St, Boston, MA
* Ward DH. A study of dentists’ preferred maxillary anterior tooth width proportions: comparing the recurring esthetic dental proportion to other mathematical and naturally occurring proportions J Esthet Restor Dent 2007;19(6):324-37
