At Finesse Dental & Implant Center, our philosophy is conservative: your natural teeth are precious. Our primary goal is always to save them whenever possible. However, there are times when tooth extraction is the only choice for your long-term oral health and overall well-being.
If you’ve been told you need a tooth removed, it’s natural to feel uneasy. We want to be transparent about why extractions happen and how we use modern technology to make the process gentle, predictable, and safe.
1. Why Do We Extract Teeth?
While we exhaust every option to keep your smile intact, several factors can lead to an extraction:
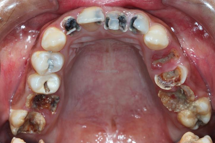
- Extensive Decay: We love a good “save,” but if a cavity has traveled below the gum line or destroyed too much structure, the tooth may no longer be restorable.

- Periodontitis (Advanced Gum Disease): This condition affects the underlying bone. If it progresses, teeth become loose and cause swelling. Unlike a cavity that usually affects one tooth, gum disease often impacts the whole mouth. We use 3D CBCT scans to evaluate every tooth. If the situation isn’t clear, we always attempt a “saving protocol” (such as deep cleaning) and monitor the results before moving toward an irreversible extraction.

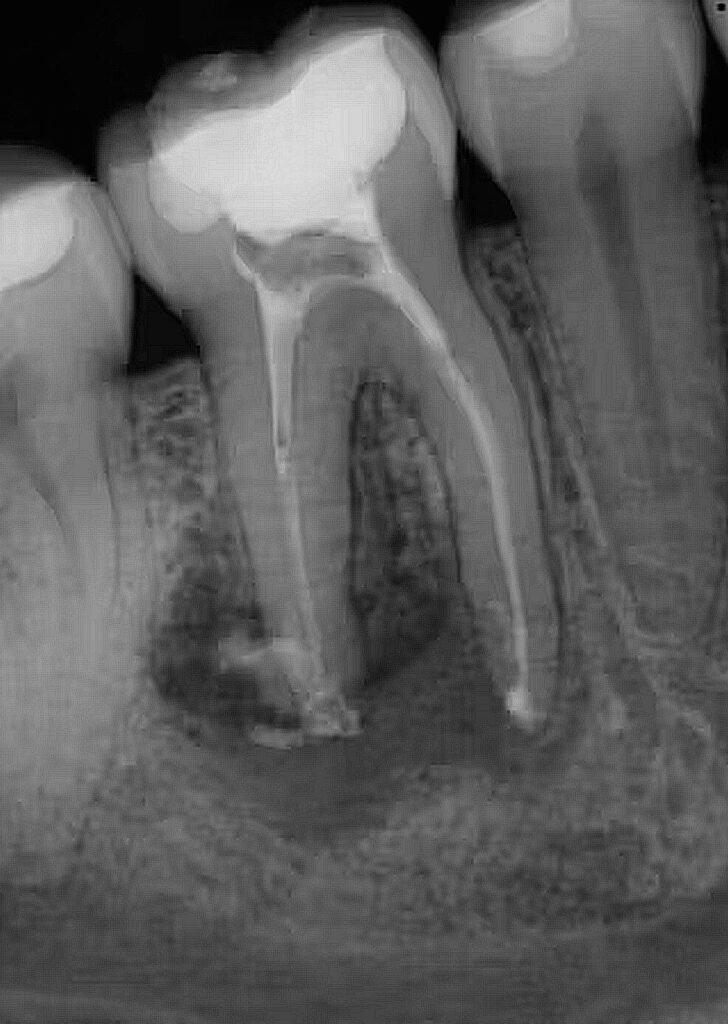
- Failed Root Canals: Root canals have a success rate over 90%. However, if a re-treatment or surgical intervention fails, extraction is the final step to eliminate infection. (Rao S et al. (May 10, 2023) Incidence of Endodontic Failure Cases in the Department of Conservative Dentistry and Endodontics, DY Patil School of Dentistry, Navi Mumbai. Cureus 15(5): e38841. doi:10.7759/cureus.38841)

- Cracks and Trauma: Think of a tooth like a fine ceramic; it is strong but can crack under pressure. This risk is higher for patients who grind their teeth or have large, older fillings. While minor cracks can be managed with a crown, a deep vertical crack usually means the tooth must be removed.

- Wisdom Teeth & Orthodontics: Sometimes there simply isn’t enough room in the jaw. Whether it’s a crowded wisdom tooth or a strategic removal to help braces align your smile, extraction can be a tool for better long-term health.
2. Preparation: Your Safety First
An extraction isn’t just about the tooth; it’s about your whole body. We pay close attention to:
- Medical History: Medications like blood thinners (Aspirin, Warfarin, Eliquis) or bone-density medications (Bisphosphonates for osteoporosis) require careful management. We often coordinate with your physician to ensure a “drug holiday” or specific protocol is in place so you heal properly.

- Diabetes Management: Diabetes can slow down healing and increase infection risks. We take extra precautions and provide specialized monitoring for our diabetic patients to ensure a smooth recovery.

3. The Finesse Tech Advantage: 3D CBCT Scans
If you were exploring a new city, you’d want a high-definition map. We feel the same way about your teeth.
Standard 2D X-rays can hide curved roots or extra canals. At Finesse Dentistry, we use 3D CBCT Scans to see your tooth from every angle before we even touch an instrument. This technology allows us to:
- Evaluate every tooth in 360 degrees to see what can be saved versus what is truly beyond repair.
- Plan the exact path of removal and protect essential anatomy like nerves and sinuses.
- Section molar roots into smaller parts for a quicker, less traumatic “divide and conquer” exit.
4. Setting the Stage for Success
We don’t just start the procedure; we prepare the environment:
- Pre-medication: We often prescribe antibiotics the day before the procedure so they are already active in your system when we begin.

- Antimicrobial Rinses: Using a professional Chlorhexidine mouthwash and performing a professional cleaning before the extraction significantly reduces the bacteria count, lowering the chance of complications.

5. Post-Op Care: Managing Comfort
Our goal is to keep you comfortable without over-reliance on heavy medications.
- Mild Pain: For simple extractions, OTC medications like Tylenol (Acetaminophen) or Advil (Ibuprofen) are usually sufficient.
- Moderate Pain (The Power of the Duo): Studies show that a combination of Ibuprofen and Acetaminophen can be just as effective—if not more so—than opioid combinations. We prioritize this “Dual Action” approach to provide sustained relief while keeping you clear-headed.
- Severe Pain: In rare cases of very severe pain, we may utilize controlled opioid medications.
- Swelling & Healing: Never underestimate the power of an ice pack! You will also continue your antibiotics and use antimicrobial rinses to keep the area clean while sutures make it difficult to brush normally.
Your Smile is Our Priority
At Finesse Dentistry, we treat extractions as a last resort. However, some patient do need the extraction. When they are necessary, we perform them with the highest level of precision and care.
For further information or to schedule an appointment, please contact us.
Finesse Dental & Implant Center of Boston
617-286-6515 (Call/Text) support@FinesseBoston.com
183 Essex St, Boston, MA 02111


